Most Recent
MD, CCFP, FCFP, FRCPC
In this issue of the Journal of Current Clinical Care, we present articles spanning the escalating crisis of antimicrobial resistance, a landmark advance in Alzheimer’s disease treatment, and the enduring humanity at the heart of the patient–physician relationship.
Patients undergoing fusion surgery for adolescent idiopathic scoliosis often experience significant psychological distress.
Lecanemab (Leqembi®), approved by Health Canada in October 2025, represents Canada’s first disease-modifying therapy for Alzheimer’s disease.
As antibiotic development lags, AI-driven discovery, soil-derived compounds like teixobactin, and phage therapy offer renewed hope.
MD, CCFP, FCFP, FRCPC
In this issue of the Journal of Current Clinical Care, we present articles spanning artificial intelligence governance, structural health-system reform, forensic radiology, and the enduring power of the patient–physician relationship.
AI is rapidly integrating into Ontario’s healthcare system, offering benefits like reduced administrative burden and improved clinical decision-making.
Advertisement
Ontario’s health-care system is not in crisis—it is in structural failure, the predictable result of design choices made for a different era.
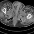
Forensic radiology represents the intersection of diagnostic imaging and legal medicine, playing an increasingly vital role in modern medicolegal investigations.
The healthcare profession faces an unprecedented crisis of provider well-being.
While adverse childhood experiences is a risk for chronic pain broadly, their specific association with chronic low back pain and recommended management remains unclear.
As we approached the cardiology floor, I sensed the students’ stress with a mixture of excitement and apprehension.
Podcasts
Visual Aids
Recent Comments
-
There’s a lot to learn for
-
Papillary Thyroid Cancer
-
Re: UTI and Confusion
-
UTI and Confusion
-
AI is it for me to use for my patients ??
-
very comprehensive review
-
Thanks Great presentation
-
Great learning opportunity
-
Thank you for this summary
-
Good question! There are no
more












